News

Myelin matters

A decade ago, Stanford scientists published a landmark study on one of the brain’s most prevalent structures. Today, Wu Tsai Neurosciences Institute researchers are discovering that myelin is key to nearly every aspect of neurological health.

Erin Gibson examines electron microscope images of cells on a computer.
Steve Fisch Photography
Erin Gibson examines an electron microscope image of rings of myelin surrounding an axon.

Erin Gibson was nervous. 

It was March of 2014, and in a few minutes, she—a mere postdoc—was about to get up in front of a room packed with experts at a major research conference in Ventura, California, and argue that neuroscience had overlooked something huge for over a century.

Neuroscientists have historically focused on neurons—electrically active cells, often with complex branching structures, whose abilities to transmit signals amongst themselves and restructure in response to experience have long been considered key to understanding our intelligence, thoughts, and character.

But Gibson had recently been recruited to the lab of Michelle Monje, a neuroscientist and neuro-oncologist at Stanford's Wu Tsai Neurosciences Institute, to chase down a provocative hunch: What if it wasn't only the brain's neurons that change in response to experience?

Their research focused on myelin, a fatty material that enwraps the cables connecting one neuron to another and helps to speed electrical signals through the brain. Myelin had long been considered a fundamentally static structure—insulation that gets laid down in early life and is subject to little change throughout healthy adulthood. 

But after months of painstaking experiments, Gibson, Monje, and colleagues were convinced they’d shown definitively that myelin changes in response to neuronal activity—and that these changes are critical to reshaping brain circuits to support learning and memory. They had given this phenomenon a name: “adaptive myelination.” 

Though confident in their data, Gibson and Monje were both new to the field of myelin research and to their respective positions in science. Early attempts to publish their findings had been met with skepticism, and at a previous scientific meeting, Gibson had encountered hostility when sharing the project. 

“I was terrified,” Gibson recalls of stepping up to the podium at the Ventura conference for her 8 p.m. lecture. “We didn’t really have a track record in myelin and this was one of the first times we were gauging the reaction of our colleagues to our work on this big, controversial question.” She would just have to trust in herself—and in her hard-won data—to make her case.

Michelle Monje stands in the foreground while a researcher examines an image of myelin in the background.
Steve Fisch Photography
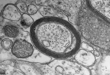
Michelle Monje’s lab has used electron microscopy to study rings of myelin surrounding an axon.

Neglecting half the brain

Slice open a preserved human brain or examine an MRI scan, and you’ll quickly note that the brain’s wrinkled outer surface forms just a thin layer of grayish tissue, surrounding a core of fibrous white material. This white matter comprises the brain’s long-range wiring and makes up roughly half the volume of our brains. It consists of billions of tendril-like neuronal processes, called axons, bundled into thick, insulated tracts—like cables snaking between rows of computer servers on a rack. The pale color of white matter comes from the fatty sheaths of electrically insulating myelin that wrap around most of these axons—allowing their signals to quickly travel long distances.

Myelin was critical to the evolution of large vertebrates like human beings. It’s thanks to myelin that a signal from your brain can reach your foot in time to be useful. Conversely, diseases that cause myelin destruction, like Multiple Sclerosis and Guillain-Barré syndrome, drive symptoms like paralysis and impaired movement coordination.

To imagine life without myelin, think of a helpless infant. Newborns are mostly un-myelinated, but as myelin gradually advances through the brain and down the length of the spinal cord, infants progressively become able to lift their heads, then bring their hands together, sit, and finally stand and walk. Brain areas involved in executive function and decision making are still getting their act together as myelination continues into our 20s and 30s. 

The cells that make myelin are themselves impressive, says Bradley Zuchero, a Wu Tsai Neuro affiliate and an assistant professor in the Department of Neurosurgery. Dubbed oligodendrocytes in the brain and Schwann cells in other parts of the body, these cells create myelin by wrapping themselves multiple times around neuronal axons, like a roll of paper towels on a cardboard tube, squishing themselves flat and growing their surface area by up to 50,000-fold in the process. 

“Oligodendrocytes and Schwann cells have to create this incredibly specific and complicated geometric shape,” Zuchero said. “We don’t know of any other cell—or really anything else in the universe—that does this.”

Brad Zuchero (in a Ben Barres tee shirt) and Husniye Kantarci.
Courtesy Brad Zuchero
Brad Zuchero (wearing a Ben Barres T-shirt) and Husniye Kantarci

But for most of neuroscience’s history, oligodendrocytes and other non-neuronal cells—collectively called glia—were relegated to the status of support cells that simply helped neurons work their magic. (The word “glia,” in fact, comes from the Greek word for “glue”.) Early pioneers of modern neuroscience disregarded myelin the way you might disregard the coating that protects your pipes from freezing or the insulation on the electrical wires running over your house: It’s obvious it serves an important structural role, but it’s a role that’s hardly complicated nor worthy of significant scrutiny. 

In the early 2000s, however, a scientific revolution was brewing at Stanford that would fundamentally change this perspective. 

More than just glue

When Ben Barres accepted a faculty position in Stanford’s Neurobiology Department in 1993, he was already poised to become a legend. 

As a medical student, he had noticed that glial cells were “radically altered” in just about every brain injury or disease—from epilepsy to Parkinson’s disease—and had been shocked that no one had taken the time to study these cells seriously.

Deterred neither by his field’s lack of enthusiasm for myelin and its cellular cousins, nor by the dearth of tools available to study glia, Barres spent his training years—as a medical resident, graduate student and postdoc—systematically creating the techniques necessary to investigate glia in earnest. Described by his colleagues as a trailblazer, unafraid to go against the grain, Barres refused to accept that this massive subset of brain cells was an inferior class. 

In his nearly 25-year career at Stanford, before his untimely death from cancer in 2017, Barres inspired countless young neuroscientists to get excited about glia.

“Ben dedicated a ton of time to training and encouraging people both in his lab and elsewhere to focus on these cells,” said Will Talbot, a professor of developmental biology, who also started researching myelin at Barres’s urging. “No one has done more to generate interest in myelin and glial cells than Ben.”

When Monje launched her lab in Stanford's Department of Neurology and Neurological Sciences in 2011, Barres was her senior faculty mentor, and his discoveries about the importance of glia—myelin in particular—intrigued her. 

Ben Barres
Timothy Archibald
Ben Barres

In the early nineties, Barres had suspected something critical was going on with myelin that neuroscientists had yet to grasp. He showed in a 1993 study that neural signals help dictate how many oligodendrocytes are born in the developing brain. It made sense, then, to wonder if the “dialogue” between neurons and oligodendrocytes might continue into later life, with the cells adjusting myelin structure to support new learning. Yet no one had been able to prove it.

Monje studied cancer and, as a postdoc, she had discovered that high-grade glioma—a specific kind of deadly brain tumor—originated in the cells that myelin-forming oligodendrocytes are born from. She also noticed that these cancerous cells tended to cluster around neurons. Remembering Barres’s discovery that neural signals could drive the birth of new oligodendrocytes, Monje wondered if neural activity could also be promoting the growth of glioma cells. Maybe both observations were pointing to an overlooked cellular interaction: that oligodendrocytes regulated themselves—and their myelin—based on what they “heard” from neurons. 

“The idea was hotly debated,” in part because clear evidence also showed that myelination could occur without any input from neurons at all, said Monje, who is now Milan Gambhir Professor in Pediatric Neuro-Oncology at Stanford Medicine. “But the evidence we were seeing was too compelling to ignore.” 

Harnessing new technology

To determine whether myelin changes were the direct result of neural activity, Monje would need to control neural activity in living brains. In the early 2000s, researchers knew how to do this by inserting needle-like electrodes into the brains of research animals, but the method also caused inflammation and tissue damage, driving skepticism around the results. 

Monje recruited Gibson to join her new lab as its first postdoc in 2012, excited to tackle the problem with a revolutionary technique that had recently come out of the lab of Monje’s husband, Wu Tsai Neuro affiliate Karl Deisseroth. The method, called optogenetics, allows scientists to control neural activity using light even as animals engage in normal behavior—no needles or tissue damage required. 

From Monje and Gibson’s first conversation, their pairing felt fated. Gibson, who had been curious about glia since learning during her doctorate work that they might be involved in regulating sleep-wake cycles, had left academia after graduating due to doubts that she could be both a successful scientist and a mom. But, during her interview with Monje, she realized that Monje—who had two children of her own—was the model of a successful scientist-parent that she needed to see. Monje was impressed with Gibson’s creativity and clear affinity for problem solving, and almost immediately invited her to join the team. Soon, Gibson set to work building the Monje lab an optogenetics system of its own.

Erin Gibson and Michelle Monje standing together in a park and smiling.
Courtesy Erin Gibson
Erin Gibson and Michelle Monje at Washington University in 2022.

“Hiring Erin was one of the best things I ever did,” Monje said. “She just grabbed the power tools and hit the ground running and things took off after that.”

To test the idea that myelin might respond to changes in neuronal activity, Gibson used optogenetics to repeatedly switch on a group of neurons in the mouse brain that drove the animals to walk in a tight leftward circle. With many repetitions, mice became progressively faster and steadier as they made their perambulations. 

At the same time, Gibson observed increasing numbers of myelinating cells around the neurons she was activating as well as thicker myelin on their axons. This suggested that stimulating brain activity was triggering the formation of more myelin—but left open the question of whether the new myelin was actually relevant to the animals’ behavior. 

To test this, Gibson used a drug to block new myelination from occurring. Without the ability to form new myelin, she discovered, the mice did not get faster, no matter how many times she switched the circuit on. Myelin changes, it seemed, were critical for the mice’s behavior to improve with experience. 

Upon seeing the results, Gibson ran from a microscope in the basement where she was working and up four flights of stairs to find Monje in her office. 

“Even back then, I felt the importance of our work, which is now considered a turning point for the field,” said Monje. “I felt that it was one of the most important professional endeavors I had ever been involved in.” 

Rethinking learning

As Gibson wrapped up her explanation of this work at the conference in Ventura in 2014, she was surprised to find that there weren’t any pitchforks. In fact, a notable member of the field congratulated her, to her great relief, and the rest of the conference was filled with productive conversations about what the findings meant for neuroscience. A few weeks later, her work with Monje was officially published in Science and within a few months, a second paper corroborating the idea of adaptive myelination was published by a separate research team.

“Since we were so new, it was almost shocking to me that people responded positively,” Gibson remembers. “But the thing that’s great about the glia field—and I think this is something that is a testament to people like Ben and Michelle—is that it’s a uniquely welcoming crowd where inclusivity is a strong priority.” 

Image of actin filaments (cyan) and an actin regulatory protein (magenta) in a differentiating oligodendrocyte. Credit: Andrew Olson and Brad Zuchero, Neuroscience imaging core (before it was called Wu Tsai Nero’s Neuroscience Microscopy Service).
Courtesy Brad Zuchero
Brad Zuchero's lab studies the remarkable cell biology of cells, like this one, that produce myelin insulation.

After that, the idea of adaptive myelination really took hold. The field moved on from questioning whether it happened at all to questions about when it happened, how it happened and what it meant for healthy neurological function. 

For example, Gibson and Monje’s work showed that this plasticity only existed in certain circuits of the brain—circuits that need to change for us to be able to adjust to our environments and learn new things. In a circuit that helps you halt your stride just as you are about to step on a nail, for example, myelination should always be structured to help you do that as fast as possible. But if you’re learning to play the piano, adaptive myelination can adjust the timing of circuits that control your fingers to give you precise control over the new set of movements.

This delicate tuning, researchers quickly began to see, requires exquisite precision, with disruptions having the potential for dire consequences. 

For example, Juliet Knowles, who came to Stanford in 2016 as a postdoc with Monje and Wu Tsai Neuro affiliate John Huguenard, has demonstrated that myelin plasticity can fuel the worsening of epileptic seizures over time by strengthening disordered neural circuits

“Erin’s paper demonstrated that myelin plasticity amplifies neuronal plasticity to cement new patterns of activity into the brain,” said Knowles, now an assistant professor in the Department of Neurology and Neurological Sciences. "What our study added was that myelin plasticity can also become maladaptive in an unhealthy state. The implications of that in health and disease are a new frontier.”

A new frontier in neuroscience 

Now, a decade out from Gibson and Monje’s landmark paper, myelin is constantly showing up as an important factor in diverse areas of neurological health and disease. 

From Monje’s lab, continued research into adaptive myelination has shown that problems with the process contribute to the “brain fog” that sometimes follows chemotherapy or a difficult bout of COVID-19. In a study published with Wu Tsai Neuro affiliate Rob Malenka in 2024, her team also found adaptive myelination likely plays a key role in forming addictions

Related Podcast

Gibson too has continued investigating myelin’s role in learning and memory in her own Stanford lab in the Department of Psychiatry and Behavioral Sciences, where she focuses on interactions between myelin and the body’s circadian rhythms. The lab’s first published paper, supported by the Knight Initiative for Brain Resilience at Wu Tsai Neuro, showed that problems with myelination associated with a lost circadian-rhythm gene can drive neurological and sleep dysfunction

Thanks to new technologies and the awareness built by researchers at Stanford, such revelations are even beginning to come from labs that have never focused on glia before. Last year, a major surprise came from the team of Knight Initiative Director Tony Wyss-Coray, who found that transplanting the cerebrospinal fluid that bathes the brain from a young mouse could rejuvenate the aging brain of an old mouse and that those benefits seemed to be mediated through the birth of new oligodendrocytes driving more myelination in the brain’s memory center. 

“Studies are now coming out from groups all around the world—people who aren’t even myelin researchers—who are researching dementia or depression or other neurological issues and finding again and again that myelin is involved,” said Zuchero—whose lab has recently demonstrated that myelin is critical for sensory neurons to become electrically active, and is working with Gibson to assess the role of myelin in neurodegenerative diseases like Alzheimer’s. 

While the earliest pioneers of modern neuroscience might have been surprised by the recent discoveries that highlight myelin plasticity as fundamental to brain function, the Stanford glia community can point to one visionary who would not have been. 

Though Barres died before much of his colleagues' work definitively linking myelin plasticity to disease, he had no doubt that overlooked aspects of myelination were central to the brain’s functioning. Now, even in his absence, the small army of Stanford glia researchers he inspired are making the breakthroughs he always suspected would come.

“We see now that there is a tremendous need to prioritize learning about the basics of how myelin works and to keep exposing these links to disease,” Talbot said. “Ben said many times that the more we study myelin, the more interesting it will become. He couldn’t have been more right.”