News

2025 neuroscience research in review

Each year, researchers across Stanford’s seven schools advance our understanding of the mind and brain through research ranging from biochemistry to behavior and beyond.

Below we have compiled some of the key studies we covered here at Wu Tsai Neuro and the Knight Initiative in 2025 to give a (very partial) overview of the impact of our community’s research efforts this past year:

 

Images of natural and rewired fly brains, highlighting different types of neurons in magenta and green.
Courtesy Cheng Lyu

How to rewire a fruit fly brain

Nov 26 2025 | Wu Tsai Neurosciences Institute

Wu Tsai Neuro researchers reprogrammed fruit fly brain development and behavior using new discoveries about how attractive and repulsive molecules build neural circuits

 

 

Aaron Gitler, Tetsuya Akiyama, Yi Zeng, Chang Liu, Anastasiia Lovchykova, Stephanie Rayner, Caiwei Guo, Odilia Sianto
Courtesy Yi Zeng

Q&A: A key protein may point toward new diagnostics and treatments for ALS and dementia

Nov 21 2025 | Knight Initiative for Brain Resilience

Amyotrophic lateral sclerosis and frontotemporal dementia are devastating neurodegenerative diseases. Knight Initiative postdoc Yi Zeng is working to understand the role a central protein plays in both diseases—and whether it might point toward new diagnostics and treatments

 

Raag Airan, Matine Azadian, Payton Martinez and Yun Xiang
Andrew Brodhead/Stanford University

A new ultrasound technique could help aging and injured brains

Nov 10 2025 | Knight Initiative for Brain Resilience

Neuroradiologist Raag Airan and his lab have found a non-invasive, drug-free method to help clean the brain, reduce inflammation, and treat disease—and with Knight Initiative for Brain Resilience support, they plan to test it in people soon.

 

Groove is in the brain: Music supercharges brain stimulation

Sep 22 2025 | Wu Tsai Neurosciences Institute

What could make a promising approach to psychiatry and brain research even better? A solid beat.

 

A microscope image showing molecules in red, blue, and cyan.
Courtesy Carla Shatz

Building bridges between Alzheimer’s theories

Sep 15 2025 | Knight Initiative for Brain Resilience

A new study finds links between two popular models of the disease—and the results could change how researchers think about treatment.

 

Rethinking how we learn to move in the world

Sep 8 2025 | Knight Initiative for Brain Resilience

Knight Initiative researchers are uncovering the fine points of how our brains learn to move. In the long run, their findings could help devise better treatments for Parkinson's disease.

 

Why promising dementia treatments work in mice but fail in people

Aug 20 2025 | Knight Initiative for Brain Resilience

Stanford researchers reviewed over 400 therapy evaluations and discovered a crucial mismatch: Mouse studies test disease prevention, while human trials test treatment of existing disease.

 

A neuron outlined in blue with purple dots indicating amyloid beta 42.
Courtesy Ching-Chieh Chou

Alzheimer’s may stem from breakdown of “recycling centers” in aging cells

Aug 18 2025 | Knight Initiative for Brain Resilience

Knight Initiative researchers used a new lab model of aging human neurons to show that as cells age, lysosomes fall into disrepair and waste builds up—feeding a damaging cycle that could lead to Alzheimer’s.

 

Several dozen simple figures of people in gray, blue, and purple.
Courtesy Ted Wilson

Parkinson’s comes in many forms. New biomarkers may explain why.

Aug 13 2025 | Knight Initiative for Brain Resilience

Blood and cerebrospinal fluid markers tied to inflammation and metabolism sort some patients into subgroups, according to Knight Initiative researchers, a step toward predicting progression and tailoring care.

 

An illustration of a cross section of the brain on a background of shooting stars.
Cognition Studio, Inc. (copyright Gates Ventures 2025)

A new consortium opens unexpected windows into neurodegenerative disease

Jul 21 2025 | Knight Initiative for Brain Resilience

The Global Neurodegeneration Proteomics Consortium gathered a trove of data on potential signs of neurological disease—and researchers including Knight Initiative director Tony Wyss-Coray are already using it to make new discoveries.

 

A common food additive solves a sticky neuroscience problem

Jul 15 2025 | Wu Tsai Neurosciences Institute

An interdisciplinary team of Wu Tsai Neuro scientists working on balls of human neurons called organoids wanted to scale up their efforts and take on important new questions. The solution was all around them.

 

Brain scan images with some regions highlighted in reds and blues.
Courtesy Jintao Sheng

Two roads to memory

Jun 24 2025 | Knight Initiative for Brain Resilience

A new study supported by the Knight Initiative for Brain Resilience reveals how Alzheimer's disease and attention shape our ability to remember.

 

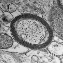
A dark ring of myelin in a black and white image of a cell.
Courtesy Michelle Monje

Myelin matters

Jun 20 2025 | Wu Tsai Neurosciences Institute

A decade ago, three generations of Stanford scientists banded together to publish a landmark study on one of the brain’s most prevalent structures. Today, Wu Tsai Neurosciences Institute researchers are discovering that myelin is key to just about every aspect of neurological health.

 

Fluorescence image of hippocampus with distinct groups of cells highlighted in orange and blue
Giocomo Lab

Locations of treats are stored in specialized neural maps

Jun 11 2025 | Wu Tsai Neurosciences Institute

Research from the Giocomo lab finds that mice create neural maps of the location of rewards, distinct from the well-known hippocampal maps of an animal's location in space.

 

Debbie Styles smiles with her surgical team. Standing, from left to right: Tiffany, a research coordinator for the CARDIAC-PND Study, Dr. Martin Angst, and Dr. Igor Feinstein.
Photo courtesy Rhee Bevere

Under the Lights: What Surgery Reveals About Brain Resilience

Jun 4 2025 | Knight Initiative for Brain Resilience

A team at Stanford, supported by the Knight Initiative for Brain Resilience, is using the biology of recovery to uncover why some aging brains withstand stress while others quietly unravel.

 

Illustration of people being rejuvenated in a fountain of youth that is shaped like a neuron
Tobias Wuestefeld

Alzheimer's "resilience signature" predicts who will develop dementia—and how fa...

May 14 2025 | Knight Initiative for Brain Resilience

Knight Initiative researchers discover a biomarker in spinal fluid that could help forecast Alzheimer’s progression and improve clinical trials.

 

Kalanit Grill-Spector in front of an MRI scanner

Bridging nature and nurture: The brain's flexible foundation from birth

Mar 17 2025 | Wu Tsai Neurosciences Institute

By studying never-before-seen details of brain connectivity in human infants, researchers at the Wu Tsai Neurosciences Institute have identified how a balance of innate structure and flexible learning produces our remarkably organized visual brains.

 

Text - Q&A, Fresh perspectives in brain resilience; Image - Peter Klein researching in the Soltesz lab

Q&A: Unraveling the role of endocannabinoid metabolism in brain aging

Jan 27 2025 | Knight Initiative for Brain Resilience

Research supported by a Knight Initiative Catalyst Grant explores whether targeting pathways related to the brain’s “chill-out” system could restore youthful resilience and improve cognitive function.

 

Corey Keller and Milena Kaestner work to prepare a research subject for simultaneous EEG recording and TMS brain stimulation in the Koret Human Neurosciences Community Laboratory at the Wu Tsai Neurosciences Institute.
Andrew Broadhead

Non-invasive brain stimulation opens new ways to study and treat the brain

Jan 24 2025 | Wu Tsai Neurosciences Institute

A new generation of researchers at Stanford’s Wu Tsai Neurosciences Institute is developing tools to modify brain activity for research and clinical applications—without drilling through the skull.

 

Banner image showing cartoon MRI and panda bear mascot on Stanford Campus
Stanford IMMERS

Stanford researchers launch free VR app preparing kids for MRI scans

Jan 13 2025 | Wu Tsai Neurosciences Institute

Stanford University researchers have released a groundbreaking virtual reality (VR) application designed to help children prepare for MRI at Stanford Children's Health.

 

 

Banner Illustration generated using GPT4o and Dall-E-3 via Stanford's AI Playground.